国产自拍av

通知公告|联系我们
预约 意见建议 搜索
国产自拍av > 医院新闻 > 详情
分享到:
微信
微博
Qzone
QQ
回顶部
特色门诊推介 反酸、烧心?小心这个毛病在“搞鬼”!
时间:2025-04-03 | 来源: | 阅读:716次
在消化疾病的领域中,胃食管反流病正日益受到关注。近期,国产自拍av 胃食管反流特病门诊就接诊了这样一位胃食管反流患者。多年来,患者一直被胸骨后反酸、烧心的症状困扰。但他并未选择到消化专科规范就诊,而是自行买药服用。最终,在国产自拍av 检查后确诊为食管中低分化腺癌,令人惋惜。
病例回顾
60岁的福州张先生(化名)多年来感到胸骨后反酸、烧心不适。通过自行对照书籍、报刊,张先生认为自己患上 “反流性食管炎”,于是自行买药服用,并未及时前往消化专科规范就诊。
通过自行服用药物,张先生的症状有时也能减轻,但最近出现了吞咽堵塞感。
在国产自拍av 胃食管反流特病门诊,缪晓峰副主任医师通过详细询问病史,发现患者确实有明显反流症状,但多年来并未行胃镜检查。
“吞咽堵塞可能是食管癌的预警信号,尤其长期症状反复者更需排除恶性病变,不是单纯食管反流那么简单”。

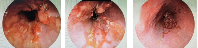
最终,在国产自拍av 消化内镜中心进行了无痛舒适化高清胃镜检查后,张先生被确诊为食管中低分化腺癌。

“食管癌早期症状与反流性食管炎有许多相似性,都可能出现胸骨后反酸、烧心等不适,容易导致误诊、漏诊。大家切不可对胃食管反流病掉以轻心,别把反流不当回事,即使已经胃镜确诊胃食管反流病,也要定期复查胃镜。”

缪晓峰副主任医师提醒,食管恶性肿瘤病理多以鳞癌为主,而食管腺癌相对少见,其好发部位多位于食管下段(靠近胃贲门),常与胃食管反流病及巴雷特食管相关。

胃食管反流病:悄然威胁健康的隐形杀手

胃食管反流病(GERD),这一慢性疾病因胃、十二指肠内容物如胃酸、胆汁等反流至食管而引发。其主要症状为烧心和反酸,许多患者还会伴随胸痛、咽部不适,甚至出现哮喘、肺炎等食管外症状。

近年来快餐化饮食、生活工作压力的增加、三餐进食不规律,这些都是导致反流性食管炎越来越多的原因。

反流性食管炎不只是影响了我们的生活品质,长期的胃食管反流不仅可能引发巴雷特食管、食管狭窄等严重并发症,更令人担忧的是,它还大幅增加了食管腺癌的发病风险。
如果反流性食管炎久治不愈,一定要引起重视,胃镜检查不可缺少,必要时还要做精查放大胃镜。
多元化治疗手段为健康保驾护航
在治疗方法上,生活方式的调整被视为基础措施。餐后避免立即平卧,保持直立姿势一段时间;戒烟限酒;睡前两小时内避免进食;减少辛辣、油腻和酸性食物的摄入;避免精神紧张和焦虑,保持良好的心态,控制体重等,这些举措都能有效减轻反流症状。
药物治疗方面,可使用抑酸药抑制胃酸分泌;促胃肠动力药促进胃肠蠕动,减少反流现象。
对于长期药物治疗效果不佳或不能耐受药物治疗的患者,可以考虑手术治疗(包括内镜下微创手术)。
国产自拍av 胃食管反流病特病门诊您的健康守护者

国产自拍av 的胃食管反流病特病门诊由消化内科经验丰富的资深医师组成专业团队,为每位患者提供个性化诊疗服务。

根据患者病情需要安排高清放大胃镜检查,确保精准诊断病情;制定个体化的药物治疗方案,实现对症下药;同时,还提供健康生活方式的指导,从多方面助力患者对抗胃食管反流病。通过全程的健康管理和贴心的跟踪随访,我们胃食管反流病特病门诊致力于缓解患者症状,促进受损黏膜愈合,预防并发症,全面提升患者的生活质量。

胃食管反流病特病门诊信息 

时间:周一上午、周五上午陈崧主任医师

周一下午、周三上午缪晓峰副主任医师

地点:门诊二楼第12诊室咨询电话: 0591-88013034

胃食管反流病绝非小事,及时规范的诊治至关重要。国产自拍av “胃食管反流病”特病门诊,从病因筛查到康复指导,为您量身定制个体化治疗方案,帮助您终结“酸”扰,守护您的胃部健康。

版权所有:国产自拍av-国产色情自拍 | 闽ICP备05029496号-1 | 闽公网安备 35010202000223号 | 监督举报电话(班内):0591-87270661
地址:福建省福州市鼓屏路67号 | 邮编:350003 | 电话:0591-87822809(班内) 0591-88013093(班外) | E-mail:fjsjjgyy@163.com
技术支持:海西天成
友情链接